年会学习笔记丨皮肤囊肿的病理分类与临床表现
600万回再生のメンズ脱毛スロー映像。レーザー脱毛と光(IPL)脱毛の 
まつげの構造 - ゆうき式小顔矯正
毛根鞘とは?毛根鞘の働き
梅毒也能引起u201c掉头发u201d?_梅毒_梅毒症状- 好大夫在线
PlayTube.pk Ultimate Video Sharing Website
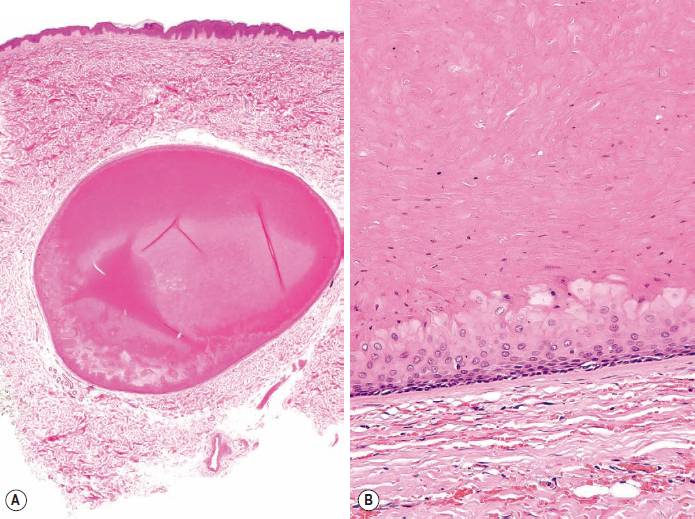
衡道丨干货】那些年,那些外科医生所谓的「皮脂腺囊肿」__中国医疗
ips-anti日本韓國皮膚科專用醫學美容品牌
Pro Beauty Lash
毛根鞘イラスト - No: 2034723/無料イラストなら「イラストAC」![]()
毛根鞘と皮脂の違いとは?毛根鞘を抜くコツや血が出た時の対処法 
円形脱毛症 - 髪の悩み - ネイチャー生活倶楽部 ホームページ【公式】
Tags:
archive